Ο χειρουργός οδοντίατρος Εμμανουήλ Πέτρος αποφοίτησε το 2019 από την Οδοντιατρική Σχολή Αθηνών. Κατά τη διάρκεια των σπουδών του παρακολούθησε αρκετά συνέδρια και σεμινάρια πάνω σε όλους τους τομείς της οδοντιατρικής, με ιδιαίτερη έμφαση στην αισθητική οδοντιατρική στην Ελλάδα αλλά και το εξωτερικό. Η εκπαίδευση του περιλαμβάνει και πιστοποίηση στην ΚΑΡΠΑ (Καρδιοαναπνευστική Αναζωογόνηση).
Σε συνεργασία με φορέα του Καποδιστριακού Πανεπιστημίου Αθηνών πραγματοποίησε μαζί με εθελοντική ομάδα της Οδοντιατρικής Σχολής επισκέψεις σε σχολεία και ΚΑΠΗ, με στόχο τη διάγνωση στοματικών προβλημάτων και τη θεραπεία τους αλλά και την εκμάθηση σωστής στοματικής υγιεινής σε παιδιά και ηλικιωμένους.
Μετά το πέρας των σπουδών του εργάστηκε στο πλευρό καταξιωμένων χειρουργών οδοντιάτρων και ορθοδοντικών και πλέον διατηρεί το δικό του ιδιωτικό ιατρείο στην περιοχή Γάζι του Ηρακλείου Κρήτης. Η εμπειρία που έχει αποκτήσει τον κατατάσσει στους καταξιωμένους επιστήμονες, με ενσυναίσθηση και μέλημα τη φροντίδα του ασθενούς. Εστιάζει στην πλήρη φροντίδα του ασθενή διασφαλίζοντας την υγεία των δοντιών του, εξηγώντας αναλυτικά την εκάστοτε θεραπεία και όντας πάντα διαθέσιμος για τις ερωτήσεις και τις ανησυχίες του.
Η επιμόρφωση του ενισχύεται συνεχώς με την παρακολούθηση σεμιναρίων και συνεδρίων που διοργανώνονται από Οδοντιατρικούς Συλλόγους στην Ελλάδα σχετικά με την Ορθοδοντική, την Εμφυτευματολογία και την Αισθητική προσώπου. Έχει συμμετάσχει ενεργά σε ημερίδες και συμπόσια με παρουσίαση οδοντιατρικών εργασίων στους τομείς της στοματικής χειρουργικής και της ορθοδοντικής, ενώ έχει δημοσιεύσει 2 από αυτές σε επιστημονικά οδοντιατρικά περιοδικά.
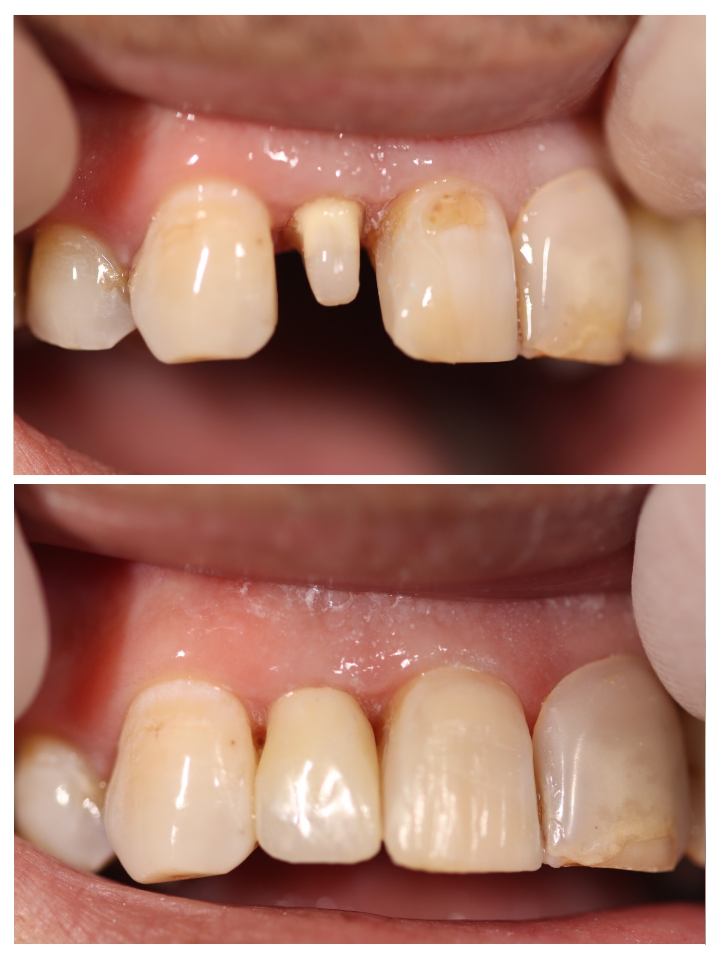
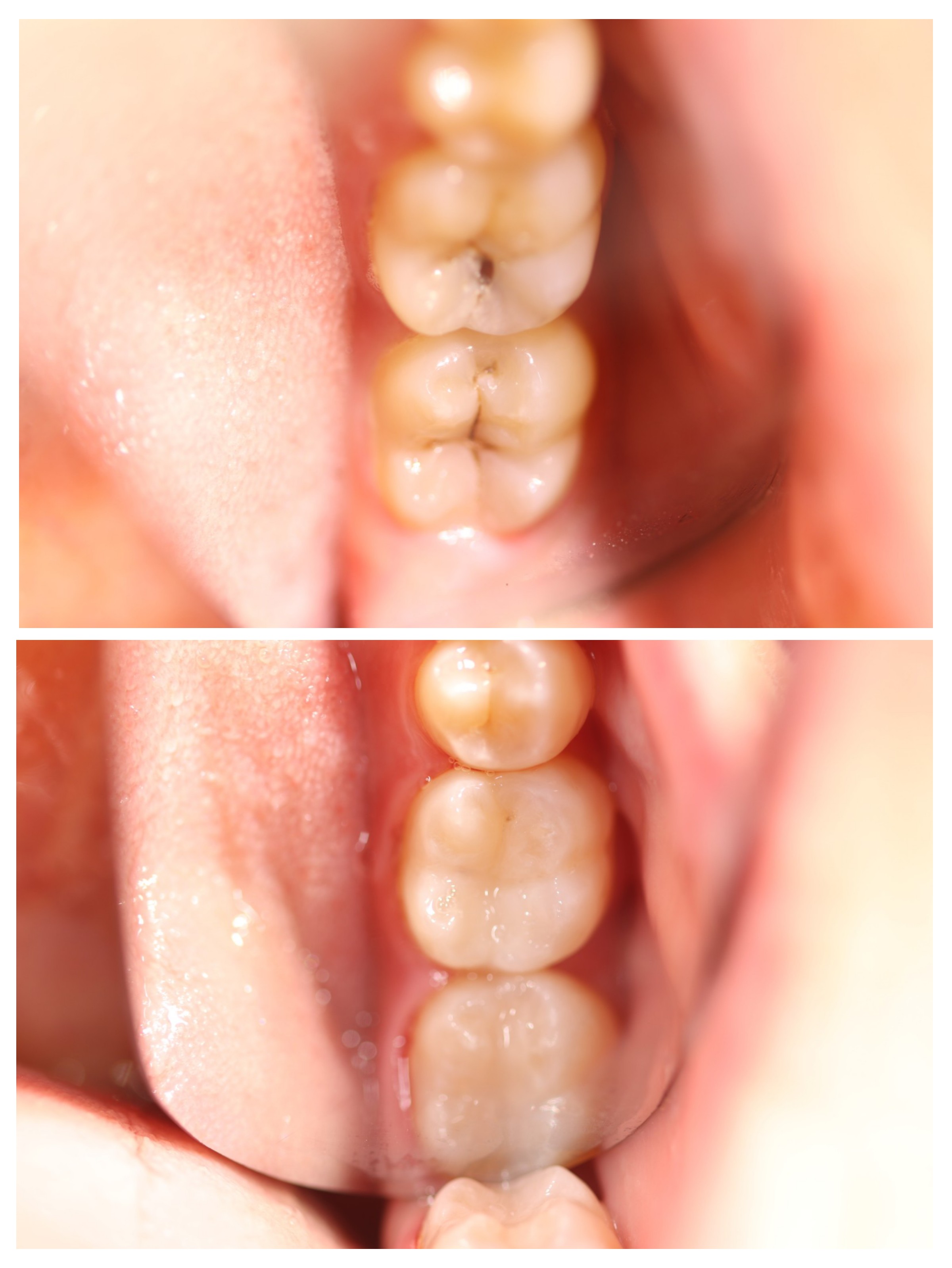
Παρακάτω μπορείτε να δείτε την αλλαγή των ασθενών μας μέσα από φωτογραφίες ορισμένων οδοντιατρικών περιστατικών που έχουμε αντιμετωπίσει στο ιατρείο μας.

































Οι φωτογραφίες των κλινικών περιστατικών αποτελούν πνευματική ιδιοκτησία και δημιούργημα του οδοντίατρου Πέτρου Εμμανουήλ. Σε περίπτωση που διαπιστωθεί αναδημοσίευση ή εκμετάλλευση από τρίτους επιφυλασσόμαστε για την άσκηση παντός νόμιμου δικαιώματος για όλες τις ενδεικνυόμενες ποινικές και αστικές ενέργειες ενώπιον των αρμόδιων πολιτικών και ποινικών δικαστηρίων.